Services

Professional and Cost-Saving Solutions

E. coli Enzyme Expression System

Creative Enzymes provides comprehensive E. coli enzyme expression services for research, industrial, and early-stage commercial applications. As the most widely adopted bacterial platform for recombinant protein production, Escherichia coli offers rapid growth, flexible genetic manipulation, and cost-effective fermentation. Leveraging advanced vector systems, optimized host strains, and scalable bioprocess technologies, Creative Enzymes delivers high-yield, reproducible production of non-glycosylated enzymes. Our services encompass gene design, expression optimization, fermentation scale-up, purification, and quality characterization. With extensive hands-on experience across diverse enzyme classes, we provide customized, reliable, and commercially viable solutions tailored to each client's specific production objectives.

E. coli enzyme expression service

Background: Why E. coli Remains the Dominant Bacterial Expression System

Among all microbial hosts used in recombinant protein production, E. coli remains the most established and widely applied platform. It serves both laboratory-scale investigations and early-stage commercial manufacturing due to its simplicity, speed of cultivation, and economic advantages. The organism's genetic system is exceptionally well characterized, and its vector platforms are among the most developed in molecular biotechnology.

As the dominant bacterial expression system, E. coli accounts for the largest share of recombinant enzyme production in industrial and pharmaceutical sectors. It is frequently used as a benchmark when evaluating alternative platforms, including Bacillus-based secretion systems and other specialized bacterial hosts. Moreover, E. coli plays a foundational role in enzyme engineering, directed evolution studies, and high-throughput structural biology.

Several intrinsic advantages explain its continued dominance:

  • Rapid doubling time and high cell density cultivation
  • Flexible promoter control and adjustable plasmid copy numbers
  • Ease of genomic modification
  • Compatibility with computer-controlled fermentation
  • Capacity to accumulate recombinant proteins up to 80% of dry cell weight
  • Robust survival under diverse environmental conditions

In addition, E. coli supports metabolic engineering strategies, such as redirecting carbon flux, avoiding amino acid analog incorporation, and configuring intracellular disulfide bond formation. It is particularly suitable for producing non-glycosylated proteins and enzymes that do not require complex post-translational modifications.

Nevertheless, certain limitations must be addressed for successful industrial implementation:

  • Acetate accumulation at high cell densities leading to toxicity
  • Formation of inclusion bodies resulting in insoluble proteins
  • Challenges in refolding proteins with multiple disulfide bonds
  • Lack of glycosylation capability
  • Endotoxin (lipopolysaccharide, LPS) contamination requiring removal for therapeutic applications

To mitigate these issues, Creative Enzymes has developed multiple optimization strategies, including promoter engineering, host strain selection, controlled feeding strategies, chaperone co-expression, temperature modulation, and secretion to the periplasmic space.

For most enzyme production projects, we recommend E. coli as the first-line platform due to its cost-effectiveness, robust fermentation characteristics, and proven scalability.

What We Offer: Comprehensive E. coli Enzyme Expression and Production Services

Creative Enzymes delivers end-to-end E. coli enzyme expression solutions designed for research institutions, biotech startups, and industrial manufacturers. Our services are modular and customizable to meet specific technical and commercial objectives.

Gene Design and Codon Optimization

  • Host-specific codon optimization
  • GC content and mRNA secondary structure optimization
  • Removal of cryptic splice sites and unstable motifs
  • Synthesis-ready construct preparation

Expression Vector Construction and Promoter Selection

  • T7-based high-expression systems
  • Lac and arabinose-inducible promoters
  • Tight regulation for toxic protein expression
  • Adjustable plasmid copy number systems

Fusion Tag and Solubility Enhancement Strategies

  • His-tag, GST, MBP, SUMO, and other affinity tags
  • Cleavable tag systems
  • Solubility-enhancing fusion partners
  • Signal peptides for periplasmic targeting

Host Strain Screening and Engineering

  • BL21 derivatives for high-level expression
  • Strains engineered for enhanced disulfide bond formation
  • Protease-deficient strains
  • Strains optimized for toxic protein production
  • Metabolically engineered strains to minimize acetate accumulation

Expression Optimization

  • Induction timing and IPTG concentration
  • Temperature profiles
  • Media composition
  • Oxygen supply and dissolved oxygen control
  • Auto-induction strategies
  • Chaperone or foldase co-expression

Fermentation and Scale-Up

  • High-density fed-batch fermentation
  • Exponential glucose feeding to reduce acetate formation
  • Specific growth rate control
  • Automated monitoring and data logging
  • Pilot-scale and industrial-scale production

Purification and Downstream Processing

  • Affinity chromatography
  • Ion exchange chromatography
  • Size exclusion chromatography
  • Endotoxin removal procedures
  • Refolding from inclusion bodies
  • Activity and stability testing

Analytical Characterization

  • SDS-PAGE and Western blot
  • Enzyme kinetics (Km, Vmax)
  • Thermal stability analysis
  • Storage stability assessment
  • Batch-to-batch consistency validation

Inquiry

Service Workflow

Service workflow of enzyme expression in E. coli system

Explore Our Alternative Bacterial Expression Platforms

  • Bacillus Enzyme Expression System: This platform is specifically optimized for high-level extracellular enzyme secretion. Gram-positive Bacillus species are particularly suitable for industrial hydrolases and bulk enzyme manufacturing, as secreted proteins simplify downstream purification and reduce production costs. This system is ideal for proteases, amylases, lipases, and other enzymes requiring efficient secretion and large-scale fermentation compatibility.
  • Other Bacterial Hosts Enzyme Expression System: For enzymes that are difficult to express in conventional systems, we offer alternative Gram-positive and Gram-negative bacterial hosts. These specialized platforms support toxic protein expression, membrane-associated enzymes, and proteins requiring unique intracellular environments. Customized host engineering and process optimization ensure flexibility when E. coli or Bacillus systems are not optimal.

Contact us

Why Choose Us: Six Competitive Advantages in E. coli Enzyme Production

Extensive Multi-System Expertise

Our comparative knowledge allows rational host selection rather than default assumptions.

Customized, Case-Specific Strategy

Each enzyme project receives tailored vector and host selection to achieve maximum yield at an acceptable cost level.

Advanced Infrastructure and Fermentation Facilities

Our laboratories are equipped with modern bioreactors, analytical platforms, and purification systems that support reproducible scale-up.

Integrated Upstream and Downstream Capabilities

From gene synthesis to purified enzyme delivery, we provide seamless end-to-end solutions.

Cost-Effective and Scalable Manufacturing

E. coli fermentation offers robust, economical production conditions suitable for industrial expansion.

Strong Technical Support and Transparent Communication

Our expert team maintains close collaboration with clients, providing technical updates and detailed reports throughout the project lifecycle.

Case Studies: Practical Applications of E. coli Recombinant Enzyme Expression

Case 1: Secretory Expression of PET Hydrolase Using the E. coli Enzyme Expression System

Poly(ethylene terephthalate) (PET) accumulation poses significant environmental challenges. The PET hydrolase (IsPETase) from Ideonella sakaiensis 201-F6 has demonstrated PET-degrading activity at moderate temperatures, but its low stability and solubility limit industrial application. To address these issues, an extracellular expression strategy was developed in Escherichia coli using Sec- and SRP-dependent signal peptides. Fusion constructs (pET22b-SPMalE:IsPETase and pET22b-SPLamB:IsPETase) successfully secreted active enzyme capable of degrading PET film. This approach enabled improved enzyme recovery and activity, supporting the development of engineered E. coli strains for PET biodegradation and biotechnological recycling applications.

Production of extracellular PETase from Ideonella sakaiensis using sec-dependent signal peptides in E. coliFigure 1. Schematic diagram of extracellular production of IsPETase. (Seo et al., 2019)

Case 2: Co-Expression of Thermostable α- and β-Amylases in the E. coli Enzyme Expression System

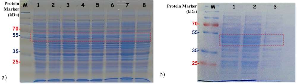
This study demonstrated the simultaneous production of thermostable α- and β-amylases in Escherichia coli BL21 using a dual-plasmid strategy. The α-amylase gene from Bacillus stearothermophilus DSM 22 and the β-amylase gene from Thermoanaerobacterium thermosulfurogenes DSM 2229 were cloned separately into pETDuet-1 vectors and sequentially transformed into BL21 cells. IPTG induction enhanced enzyme expression, and both proteins were purified via Ni-NTA chromatography. SDS-PAGE and Western blot confirmed expected molecular weights (≈60 kDa and 55 kDa). This efficient co-expression system enables cost-effective production of industrial starch-processing enzymes within a single bacterial host.

Simultaneous production of alpha and beta amylase enzymes using separate gene bearing recombinant vectors in the same Escherichiacoli cellsFigure 2. SDS-PAGE analysis of purified α (A) and β (B) amylase. Panel (A): Lane 1, 2, and 3 IPTG induced bacterial cells, Lane 4, 5, and 6 uninduced transformed cells, Lane 7 and 8 untransformed control cells. Panel (B): Lane 1 and 2 induced cells, Lane 3 untransformed control cells. (Özcan and Şipahioğlu, 2020)

FAQs: Technical and Commercial Questions on E. coli Enzyme Expression Services

  • Q: Is E. coli suitable for all enzymes?

    A: E. coli is ideal for non-glycosylated enzymes and is typically recommended as the first attempt due to its low cost and robustness. However, enzymes requiring complex post-translational modifications may require alternative systems.
  • Q: How do you handle inclusion bodies?

    A: We implement solubilization and systematic refolding optimization. In many cases, expression conditions are adjusted to promote soluble production before refolding is considered.
  • Q: Can you produce endotoxin-free enzymes?

    A: Yes. For therapeutic or diagnostic applications, additional purification and endotoxin removal steps are incorporated to meet safety standards.
  • Q: What production scale can you support?

    A: We support projects from milligram laboratory scale to pilot and industrial-scale fermentation.
  • Q: How long does a typical project take?

    A: Timelines vary depending on complexity, but standard expression and purification projects are typically completed within several weeks.
  • Q: Do you provide technical documentation?

    A: Comprehensive reports including expression conditions, purification parameters, analytical data, and activity assays are provided upon project completion.

References:

  1. Özcan D, Şipahioğlu HM. Simultaneous production of alpha and beta amylase enzymes using separate gene bearing recombinant vectors in the same Escherichiacoli cells. Turk J Biol. 2020;44(4):201-207. doi:10.3906/biy-2001-71
  2. Seo H, Kim S, Son HF, Sagong HY, Joo S, Kim KJ. Production of extracellular PETase from Ideonella sakaiensis using sec-dependent signal peptides in E. coli. Biochemical and Biophysical Research Communications. 2019;508(1):250-255. doi:10.1016/j.bbrc.2018.11.087

For research and industrial use only. Not intended for personal medicinal use. Certain food-grade products are suitable for formulation development in food and related applications.

Services
Online Inquiry

For research and industrial use only. Not intended for personal medicinal use. Certain food-grade products are suitable for formulation development in food and related applications.